Luce unos dientes blancos y radiantes para deslumbrar al mundo
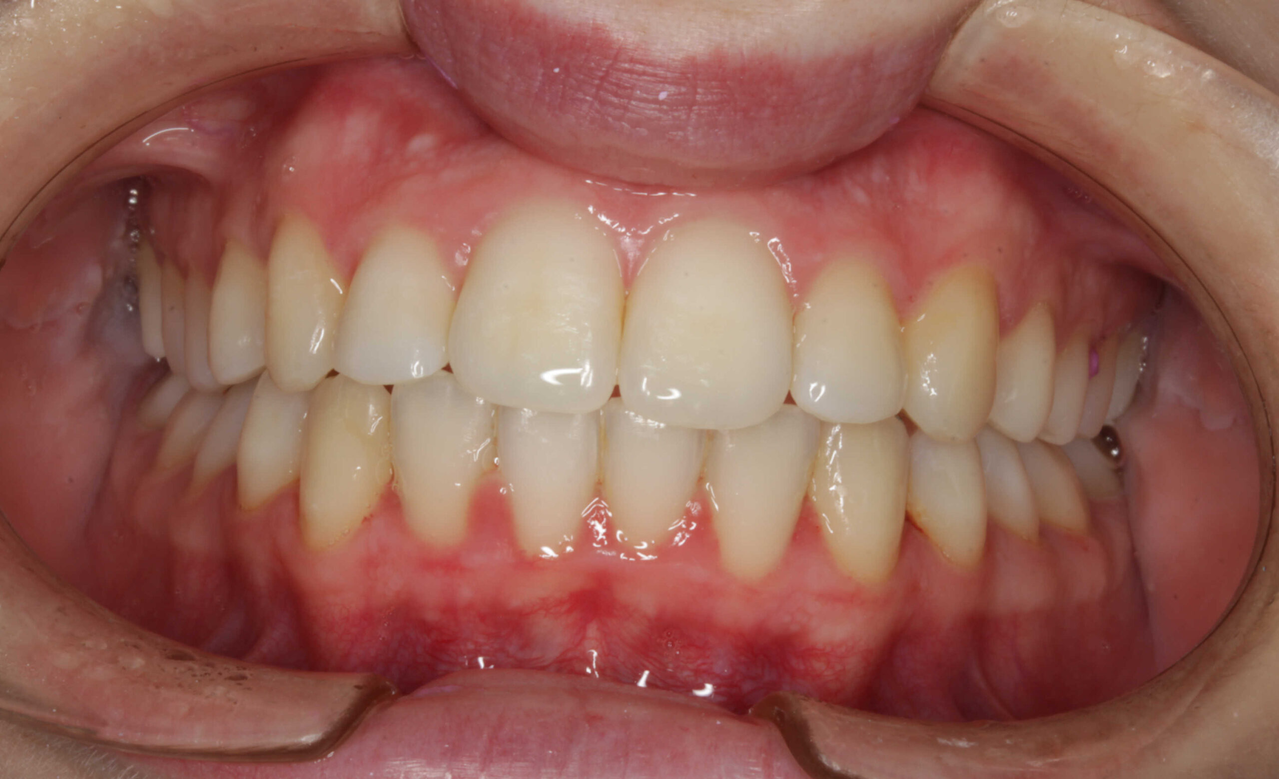
¿Has notado que tu sonrisa ha perdido brillo?
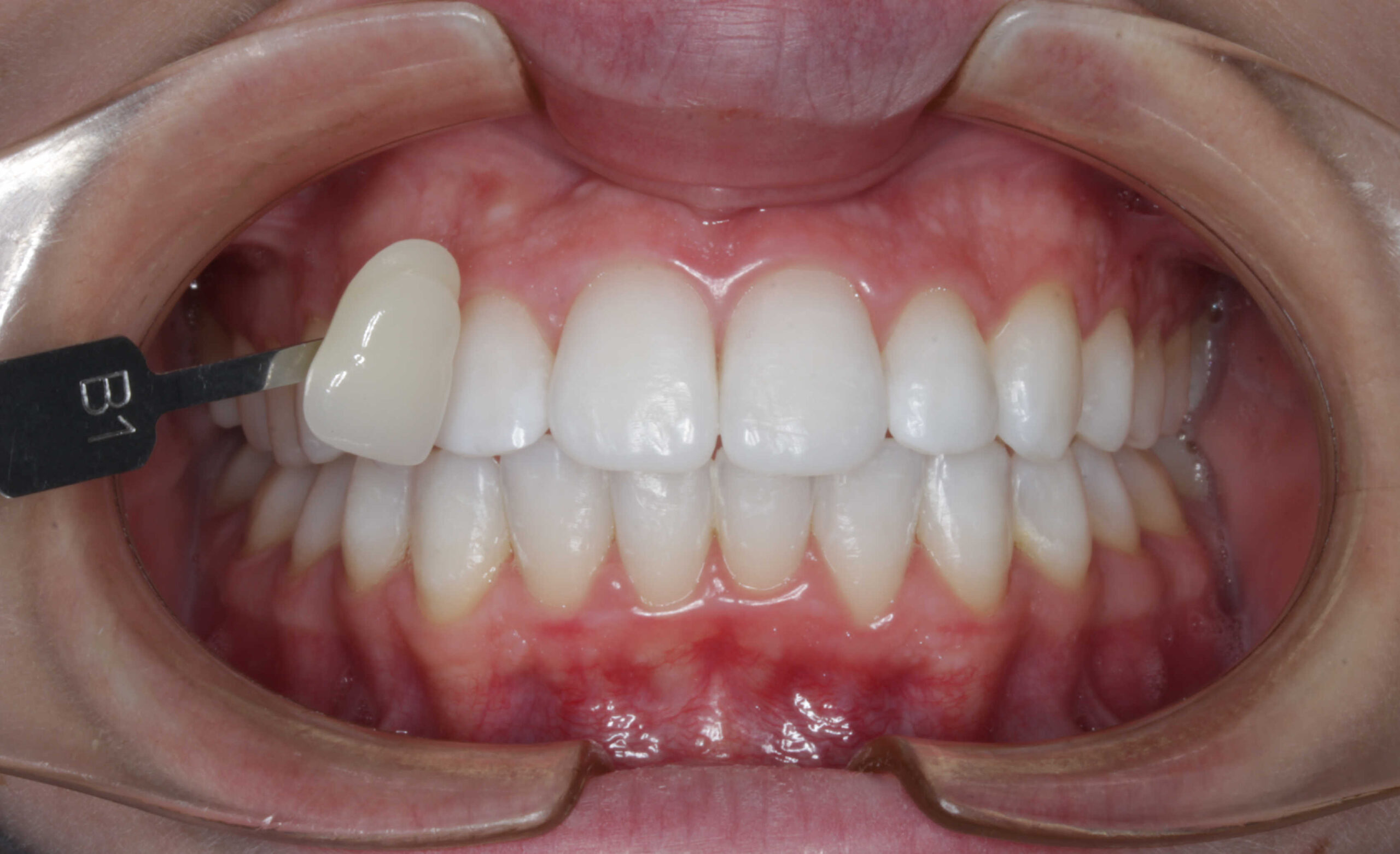
El blanqueamiento dental profesional es la forma más segura, rápida y eficaz de recuperar el blanco natural de tus dientes y sentirte a gusto al sonreír.
¿Por qué se oscurecen los dientes?
Con el tiempo, factores como:
- El consumo de café, té o vino tinto
- El tabaco
- El envejecimiento natural
- Ciertos medicamentos
pueden hacer que los dientes se vuelvan amarillentos, apagados o con manchas. El blanqueamiento dental es un tratamiento de estética dental que elimina esas manchas y devuelve a tu sonrisa un tono más blanco, luminoso y juvenil.
Tipos de blanqueamiento que ofrecemos
- Blanqueamiento ambulatorio (en casa): el más cómodo y recomendado. Usamos férulas personalizadas y geles profesionales que aplicarás tú mismo bajo nuestras indicaciones.
- Blanqueamiento combinado: un refuerzo inicial en clínica, seguido de la fase ambulatoria en casa para potenciar el resultado.
- Blanqueamiento en clínica: para casos puntuales o refuerzos específicos.
”Sabemos que llevas tiempo soñando con unos dientes blancos. No lo retrases más. Nuestro tratamiento de blanqueamiento es indoloro, no invasivo y 100 % seguro. En pocos días notarás una gran diferencia, sin molestias y con un cambio espectacular en tu imagen.
Blanca MorenoOrtodoncista
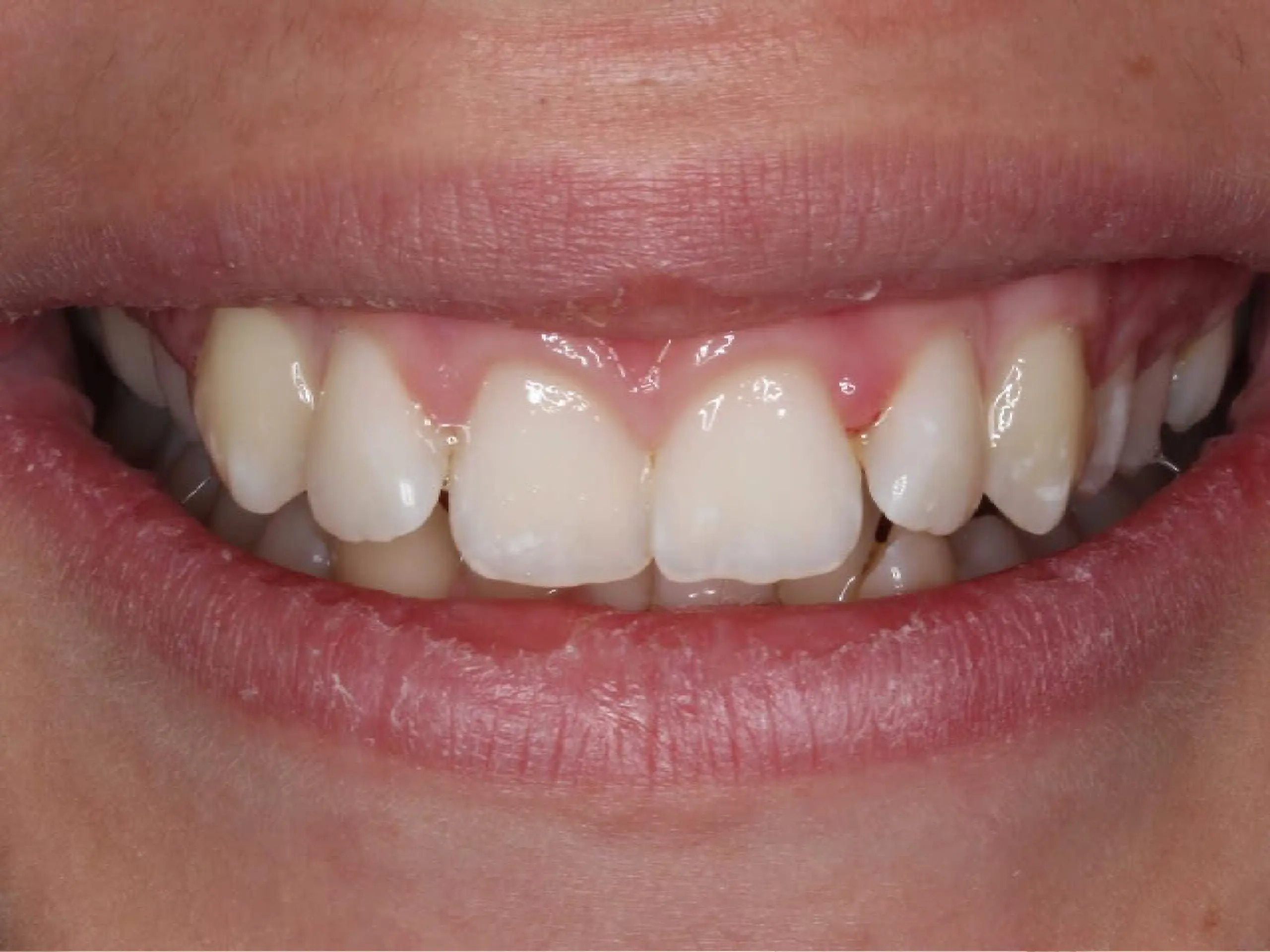
Antes y después de Blanqueamiento dental


Preguntas frecuentes sobre Blanqueamiento Dental
¿Qué es el blanqueamiento dental?
Es un tratamiento estético que aclara el color de los dientes mediante el uso de agentes blanqueadores seguros.
¿Qué tipos existen?
Ambulatorio (en casa), en clínica o combinado. El más recomendado por su efectividad y comodidad es el blanqueamiento ambulatorio supervisado.
¿El blanqueamiento daña el esmalte?
No, si está realizado bajo control profesional. Usamos productos seguros y protocolos diseñados para proteger tus dientes.
¿Causa sensibilidad?
Puede aparecer una sensibilidad leve y temporal, que desaparece rápidamente con productos desensibilizantes si es necesario.
¿Cuánto duran los resultados?
Depende de tus hábitos. Con una buena higiene, y evitando tabaco o bebidas muy pigmentadas, puede durar de 1 a 3 años. Se puede repetir si es necesario.
¿Puedo hacerme un blanqueamiento si tengo empastes o coronas?
El blanqueamiento solo actúa sobre el diente natural. Si tienes restauraciones antiguas visibles, se valorará cambiarlas tras el tratamiento para igualar el color.
Con un tratamiento cómodo, rápido y seguro, podrás lucir una sonrisa radiante en muy pocos días
¡Haz que tu sonrisa brille como nunca!



