Protege tus dientes del desgaste y olvídate del dolor
¿Aprietas los dientes sin darte cuenta?¿Te duele la cabeza, el cuello o notas los dientes desgastados? Es muy posible que estés sufriendo bruxismo, una patología más común de lo que imaginas… y muchas veces silenciosa.
¿Cómo saber si tengo bruxismo?
Muchas personas no se dan cuenta hasta que su dentista detecta el desgaste en los dientes o sufren molestias persistentes. Otros síntomas típicos son:
Dolor de mandíbula o al masticar
Dolores de cabeza al despertar
Dolor en cuello, hombros y oído
Sensación de presión constante en los dientes
Dificultad al abrir o cerrar la boca
Causas del bruxismo
El bruxismo puede estar relacionado con varios factores:
1 Estrés o ansiedad
2 Problemas de sueño
3 Malposición dental o mordida desalineada
4 Trastornos neurológicos o musculares
5 Efectos secundarios de algunos medicamentos
¿Qué pasa si no se trata?
El bruxismo no desaparece solo y, con el tiempo, puede provocar:
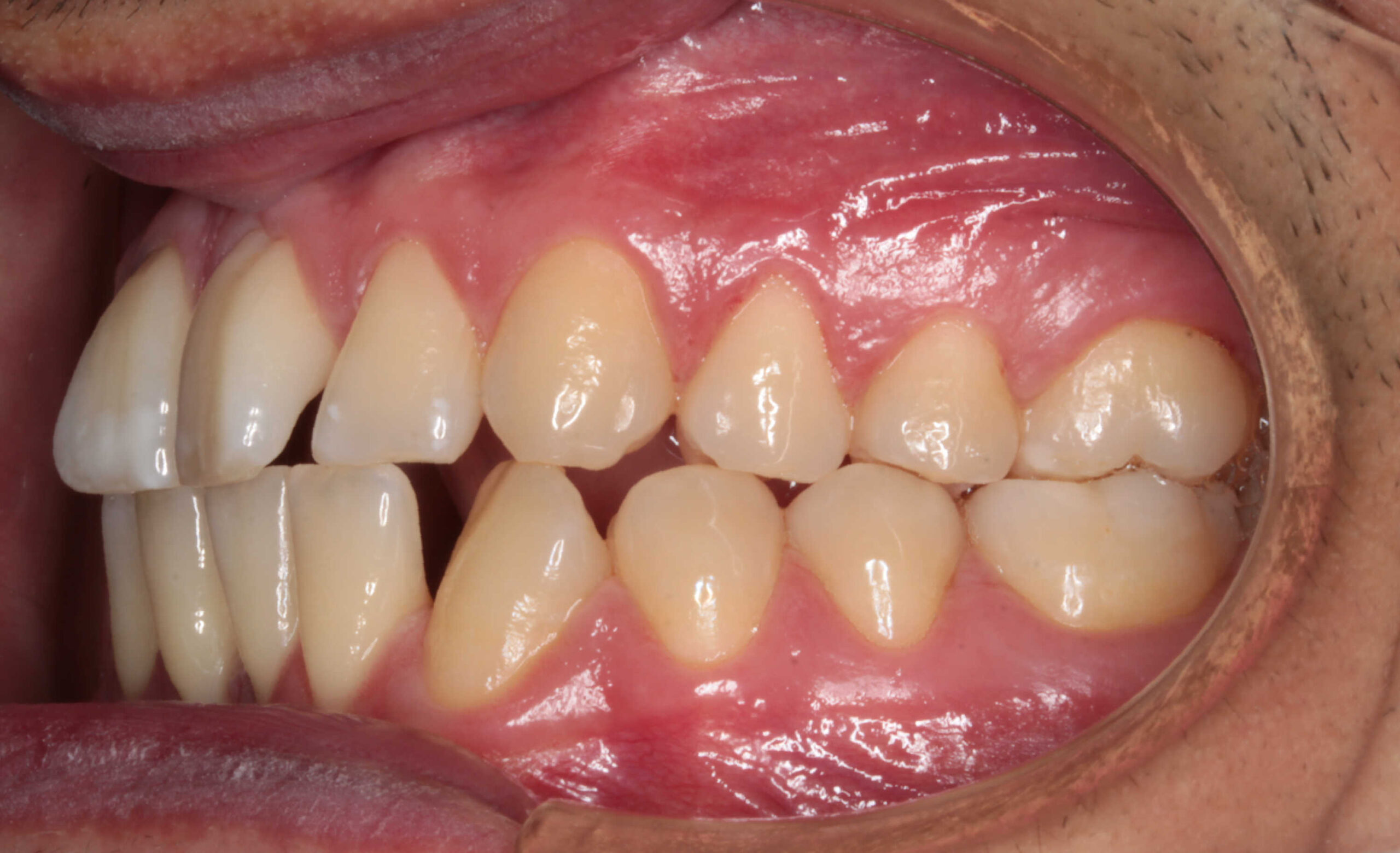
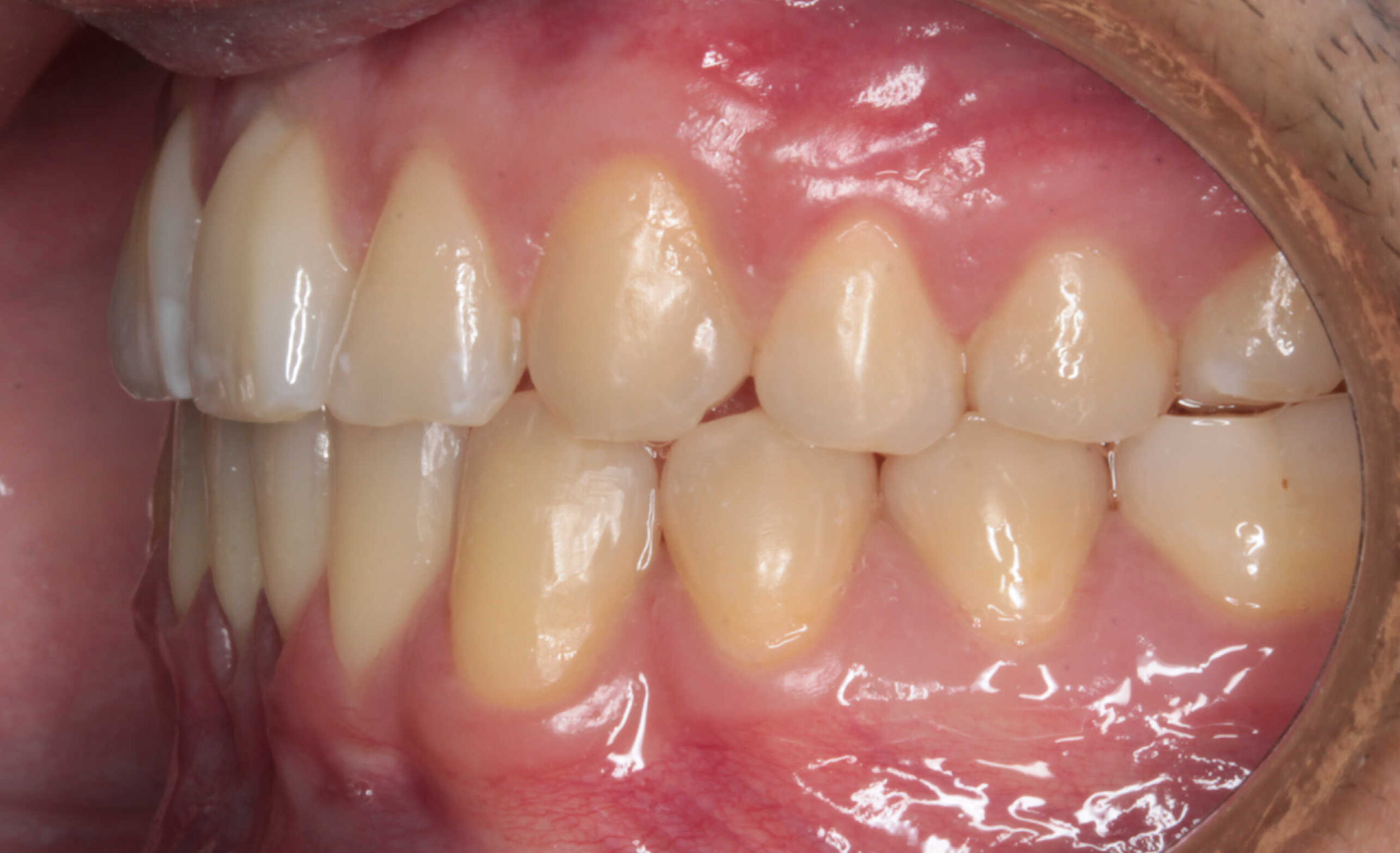
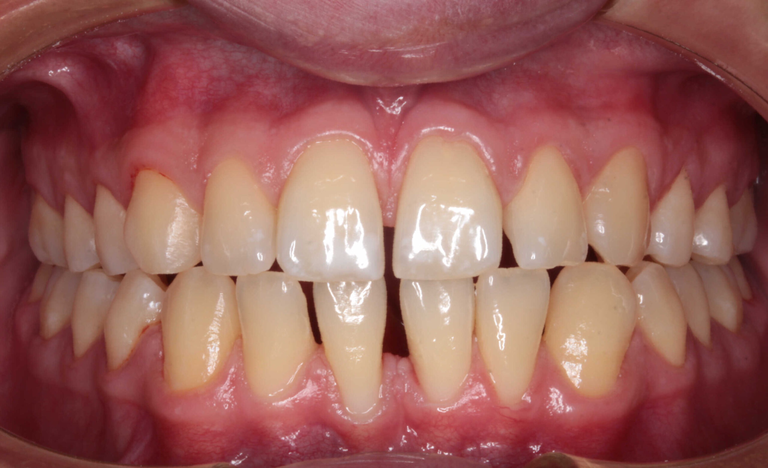
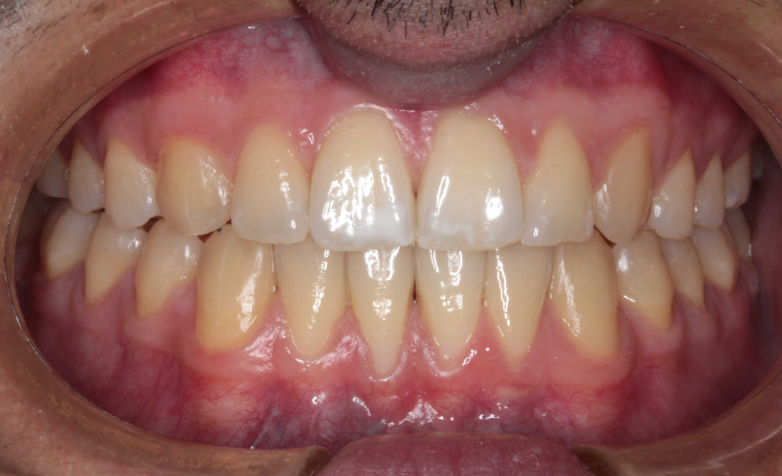
Desgaste severo del esmalte
Dientes astillados o fracturados
Daño en empastes o coronas
Dolor crónico en la mandíbula (ATM)
Contracturas musculares persistentes
Alteraciones posturales
¿Cómo se trata el bruxismo?
En nuestra clínica abordamos el bruxismo de forma integral con tratamientos adaptados a cada paciente:
Férula de descarga personalizada (protectores nocturnos cómodos y eficaces)
Reeducación de hábitos y manejo del estrés
Evaluación y posible corrección de la mordida
Terapia física y complementaria si hay afectación muscular o articular
”Si sufres dolores frecuentes o notas tus dientes astillados, es hora de ponerle remedio. Te asesoramos en todo el proceso: desde el diagnóstico hasta la adaptación de tu férula de descarga. No estás solo, estamos aquí para ayudarte a vivir sin dolor.
Antonio BatistaCirujano
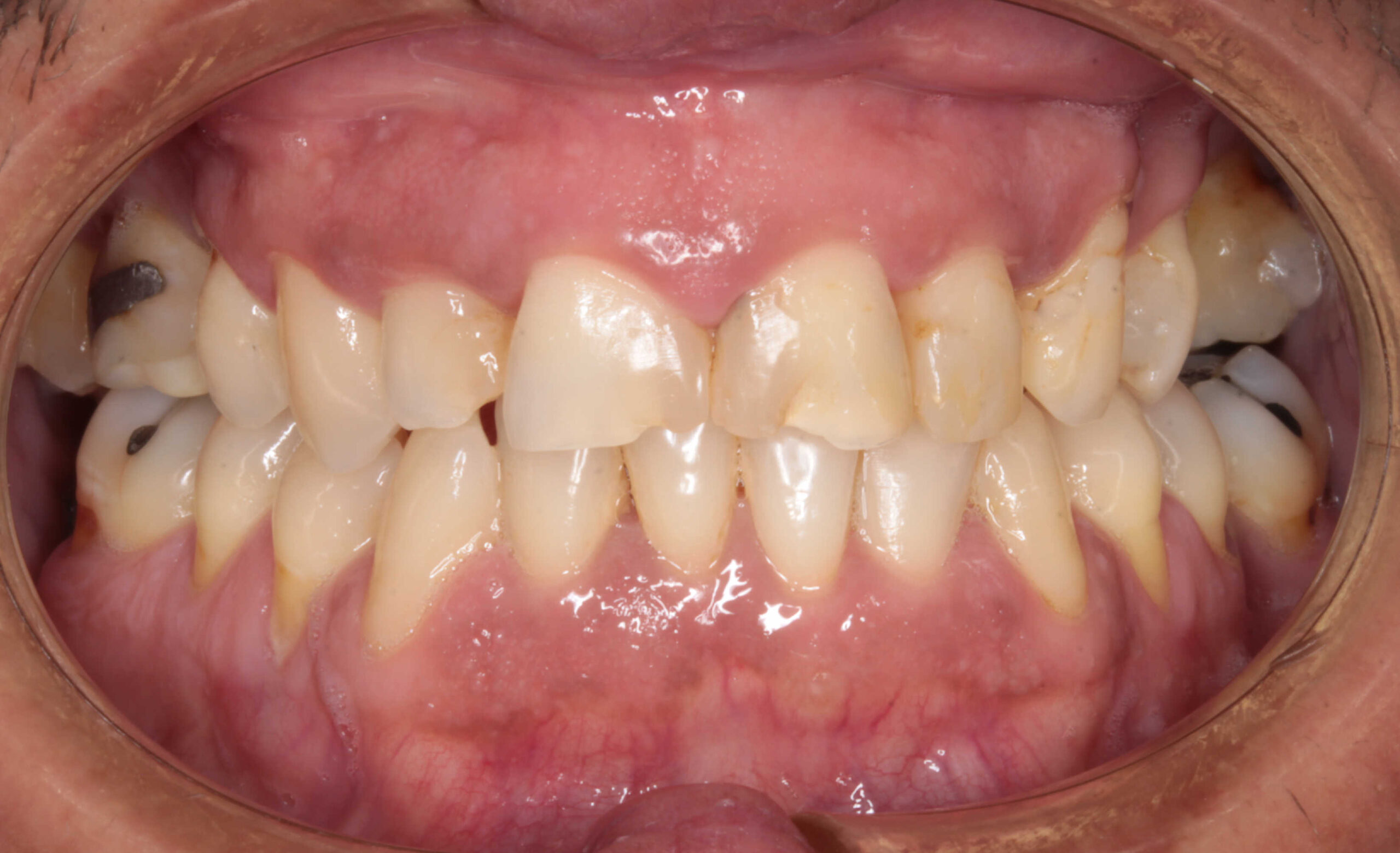
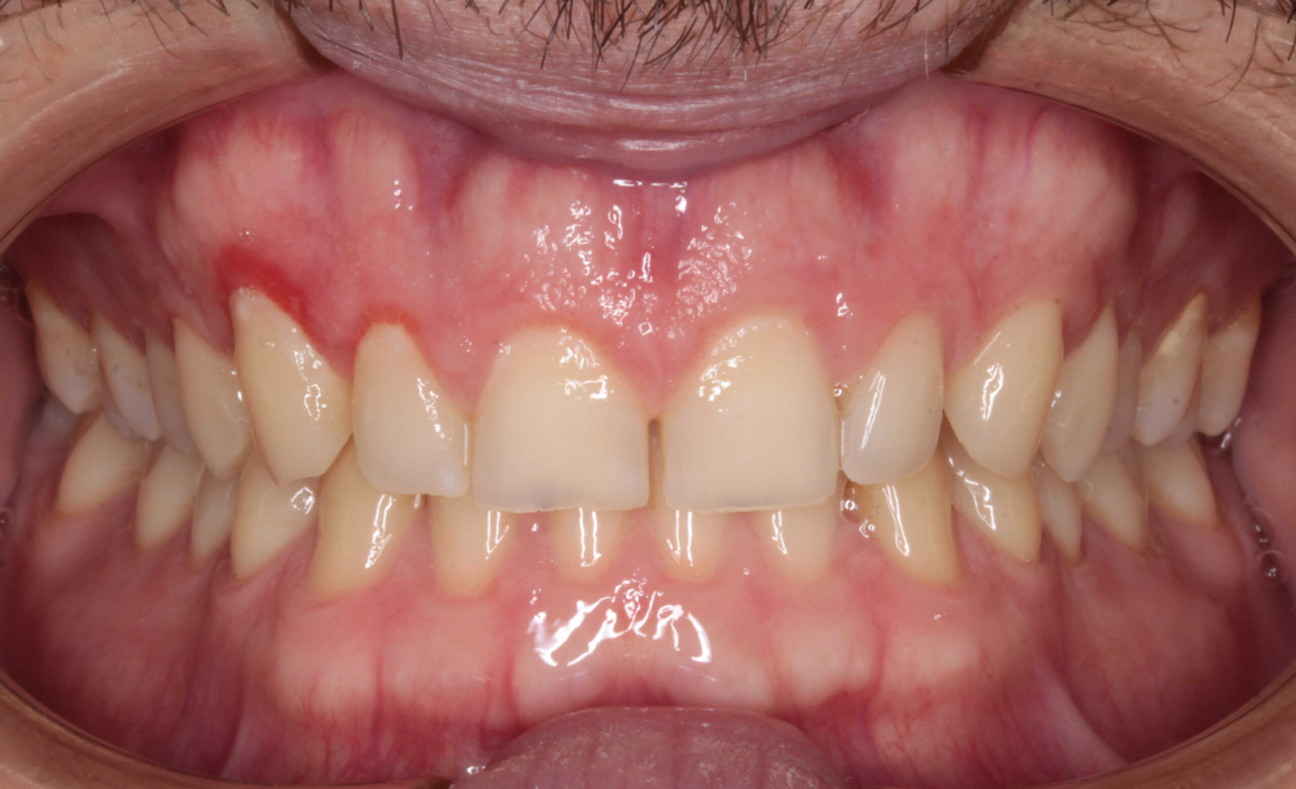
Antes y después de bruxismo






Preguntas frecuentes sobre bruxismo
¿Qué es el bruxismo?
Es el acto involuntario de apretar o rechinar los dientes, que puede ocurrir mientras duermes o incluso de día.
¿Qué síntomas produce?
Dolores de cabeza, cuello, mandíbula, desgaste dental, sensibilidad o dificultad para abrir la boca.
¿Cómo sé si lo tengo?
A menudo lo detectamos en consulta. También puedes notarlo por molestias al despertar o porque alguien escucha el rechinar por la noche.
¿Tiene cura?
En muchos casos no desaparece del todo, pero se puede controlar perfectamente con el tratamiento adecuado.
¿Son incómodas las férulas?
No. Son hechas a medida y después de unos días de adaptación, resultan muy cómodas y eficaces.
¿Afecta a los niños?
Sí, aunque muchas veces es temporal. Es importante que un especialista valore el caso.
¿Cuándo debo acudir al dentista?
En cuanto sospeches que puedes apretar los dientes o si ya tienes molestias. Cuanto antes lo tratemos, mejor será el resultado.



