El mayor cambio que le darás a tu boca gracias a la ortodoncia
¿Qué es la ortodoncia y por qué es tan importante?
La ortodoncia es una especialidad de la odontología que corrige la posición de los dientes y los huesos maxilares. Un tratamiento bien planificado no sólo mejora la estética dental, sino también la mordida, la funcionalidad y la salud bucal a largo plazo. En nuestra clínica dental en Moguer, la ortodoncista será la profesional encargada de valorar tu caso y determinar qué tipo de ortodoncia es más adecuada para ti. Existen diversas razones para necesitar ortodoncia:
Ortodoncia con brackets (fijos)
• Ideal para casos más complejos de maloclusión o apiñamiento
• Brackets metálicos modernos, más estéticos y cómodos
• Requiere menos disciplina del paciente: funciona 24/7
• Ajustes periódicos realizados por nuestra ortodoncista
• Disponible también en versión estética (brackets cerámicos)
Ortodoncia invisible (alineadores transparentes)
• Tratamiento removible y discreto, apenas visible
• Estudio digital 3D previo para planificar y visualizar el resultado final
• Férulas personalizadas que se cambian cada pocos días
• Muy cómodas, no interfieren en tu día a día
• Necesitan usarse 22 horas al día para mayor efectividad
Diseño de sonrisa desde la primera visita
En Quirorto no sólo corregimos dientes, diseñamos sonrisas. Desde la primera cita podrás ver una simulación 3D del antes y después de tu tratamiento. Nuestra ortodoncista te acompañará paso a paso, resolviendo todas tus dudas, miedos y dándote los mejores trucos para una ortodoncia cómoda:
• Menos citas, menos rozaduras
• Mejores hábitos de higiene
• Alimentación adaptada
• Atención rápida entre visitas
”Muchos creen que la ortodoncia es solo para niños o que siempre causa molestias. La realidad es otra. No importa tu edad: siempre es un buen momento para mejorar tu sonrisa. Con nuestros mini brackets apenas notarás que los llevas. La mayoría de nuestros pacientes aseguran no sentir molestias. Y lo mejor: el tiempo pasa volando y podrás hacer vida normal durante todo el tratamiento. No lo pienses más. Tu nueva sonrisa te está esperando.
Blanca MorenoOrtodoncista
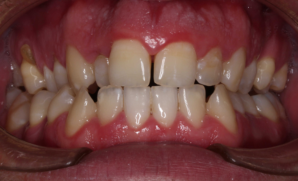
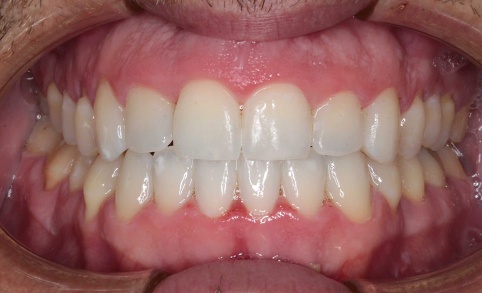
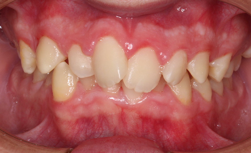
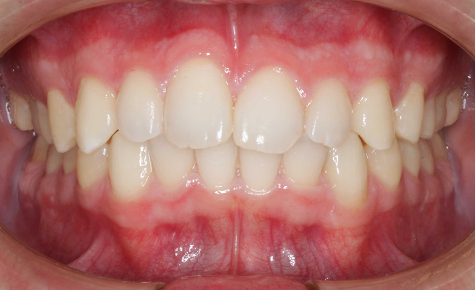
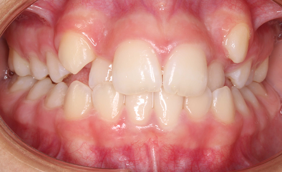
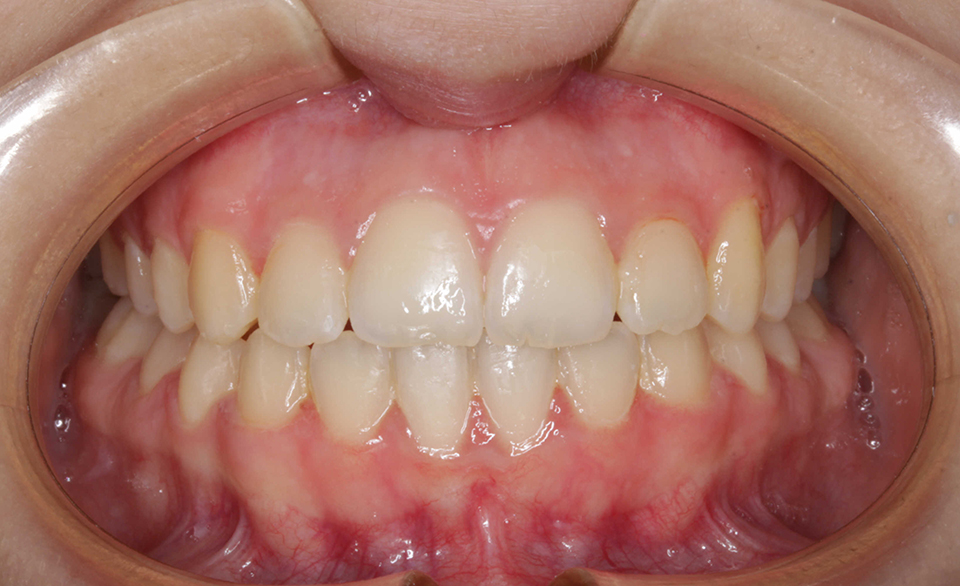
Antes y después de ortodoncia






Preguntas frecuentes sobre ortodoncia
¿Qué es la ortodoncia?
Es la especialidad odontológica que corrige la posición de los dientes y mejora la mordida, la estética y la funcionalidad.
¿Qué tipos de ortodoncia hay?
- Brackets metálicos o cerámicos (fijos)
- Ortodoncia invisible con alineadores transparentes (removible)
¿A qué edad se puede empezar?
Desde los 6 años en niños. Evaluaciones preventivas a partir de los 4-5 años. No hay edad límite: hemos tratado pacientes con 75 años.
¿Cuánto dura un tratamiento de ortodoncia?
Entre 12 y 24 meses, dependiendo del caso.
¿Molestan los brackets o alineadores?
Sólo los primeros días. Después, la adaptación es total y no interfiere con la rutina diaria.
¿Puedo hacerme ortodoncia si tengo implantes, coronas o dientes ausentes?
Sí. Adaptamos el plan de tratamiento a tu situación individual.
¿Qué cuidados debo seguir durante el tratamiento?
Buena higiene bucal, visitas periódicas, evitar alimentos duros o pegajosos y seguir los consejos del equipo.



