Intervenciones menores, resultados que marcan la diferencia
En nuestra clínica realizamos intervenciones de cirugía bucal ambulatoria, seguras y poco invasivas, que permiten resolver múltiples problemas orales sin necesidad de acudir a un hospital. Con técnicas avanzadas y una atención personalizada, tu recuperación será rápida y sin complicaciones.
La cirugía bucal incluye procedimientos como la extracción de muelas del juicio, extirpación de quistes, regeneración ósea, biopsias, cirugía de encías o injertos, entre otros.
Principales tratamientos de cirugía bucal que realizamos:
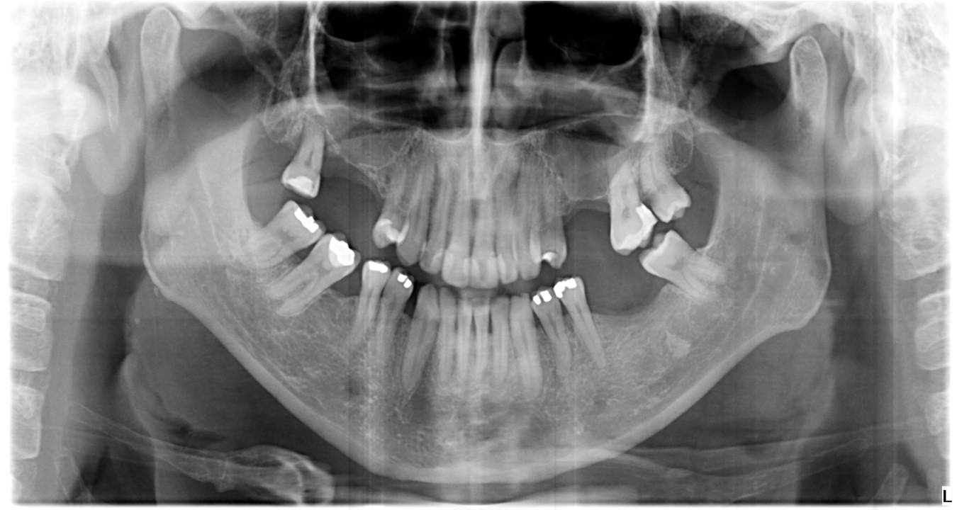
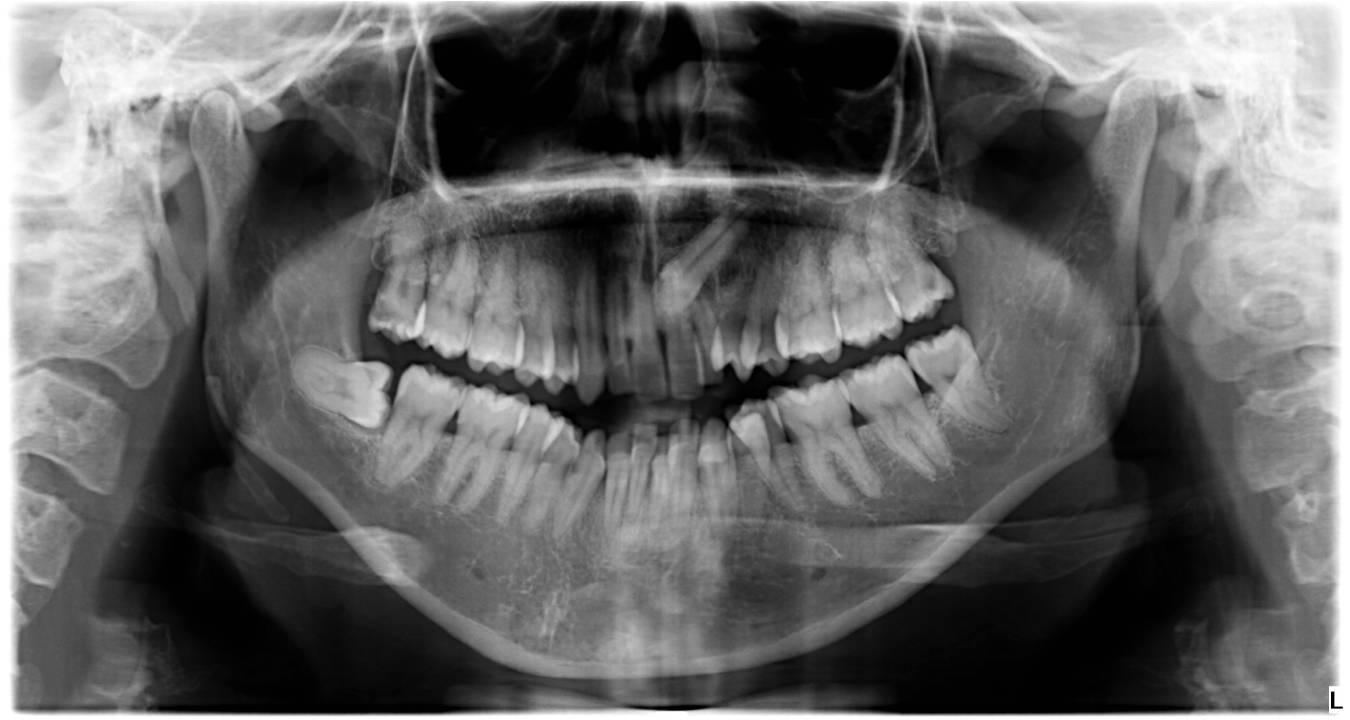
Extracción de muelas del juicio
Cuando estas muelas no tienen suficiente espacio para salir correctamente, causan infecciones repetidas, dolor, apiñamiento dental o están en mala posición, lo mejor es extraerlas. Es un procedimiento común y rápido, realizado bajo anestesia local.
Regeneración ósea
En casos de pérdida de hueso, realizamos injertos óseos para recuperar el volumen necesario antes de colocar implantes dentales. De esta forma, garantizamos una base sólida y segura para restauraciones duraderas.
Elevación del seno maxilar
Cuando el hueso del maxilar superior es insuficiente, realizamos esta técnica quirúrgica para aumentar su altura y permitir la colocación de implantes en la zona posterior. Es segura, predecible y con muy buenos resultados.
Gingivectomía e injerto de encía
Si tienes asimetría gingival, encías retraídas o demasiado visibles, podemos mejorar su forma y salud con técnicas quirúrgicas mínimamente invasivas. El resultado es una sonrisa más armónica y estética.
”Todos pasamos por una extracción o una cirugía en algún momento. No tengas miedo, no sentirás dolor y estarás en las mejores manos. Si para ti es la primera vez, para nosotros es rutina diaria. Tu seguridad y comodidad son lo primero.
Antonio BatistaCirujano
Preguntas frecuentes sobre Cirugía Bucal
¿Qué es la cirugía bucal?
Es una especialidad odontológica que realiza intervenciones quirúrgicas en la cavidad oral: extracciones dentales, cirugía de encías, frenillos, regeneración ósea, eliminación de quistes, entre otras.
¿Cuándo se deben extraer las muelas del juicio?
Cuando no hay espacio para que salgan, están mal posicionadas, generan infecciones, dolor o desplazan otros dientes.
¿Duele una cirugía bucal?
No. Se realiza bajo anestesia local y no sentirás dolor durante el procedimiento. Las molestias posteriores son leves y controlables con medicación.
¿Cuánto dura la recuperación?
Depende del tipo de intervención. Generalmente, entre 3 y 7 días. Te daremos pautas para que el postoperatorio sea cómodo y sin complicaciones.
¿Qué cuidados debo seguir tras una cirugía?
Evitar enjuagues intensos durante las primeras horas
No fumar ni beber alcohol
Dieta blanda los primeros días
Aplicar hielo las primeras 24 h
No cepillar directamente la zona intervenida
¿Qué complicaciones pueden surgir?
Son poco frecuentes. Puede haber leve inflamación, sangrado o molestias temporales, pero todo se resuelve fácilmente con seguimiento adecuado.



