Encías rosas, dientes sanos, sonrisa bonita
¿Sabías que la salud de tus encías es tan importante como la de tus dientes? En nuestra clínica tratamos las enfermedades periodontales para que puedas conservar tus dientes a largo plazo y disfrutar de una sonrisa sana, fresca y sin complicaciones.
¿En qué consiste el tratamiento periodontal?
El tratamiento periodontal tiene como objetivo detener la pérdida de hueso y tejido gingival, eliminando las bacterias responsables de la inflamación crónica. Esto se consigue mediante limpiezas profundas, control profesional de la placa y, en casos más avanzados, cirugía periodontal regenerativa.
Tipos de enfermedad periodontal
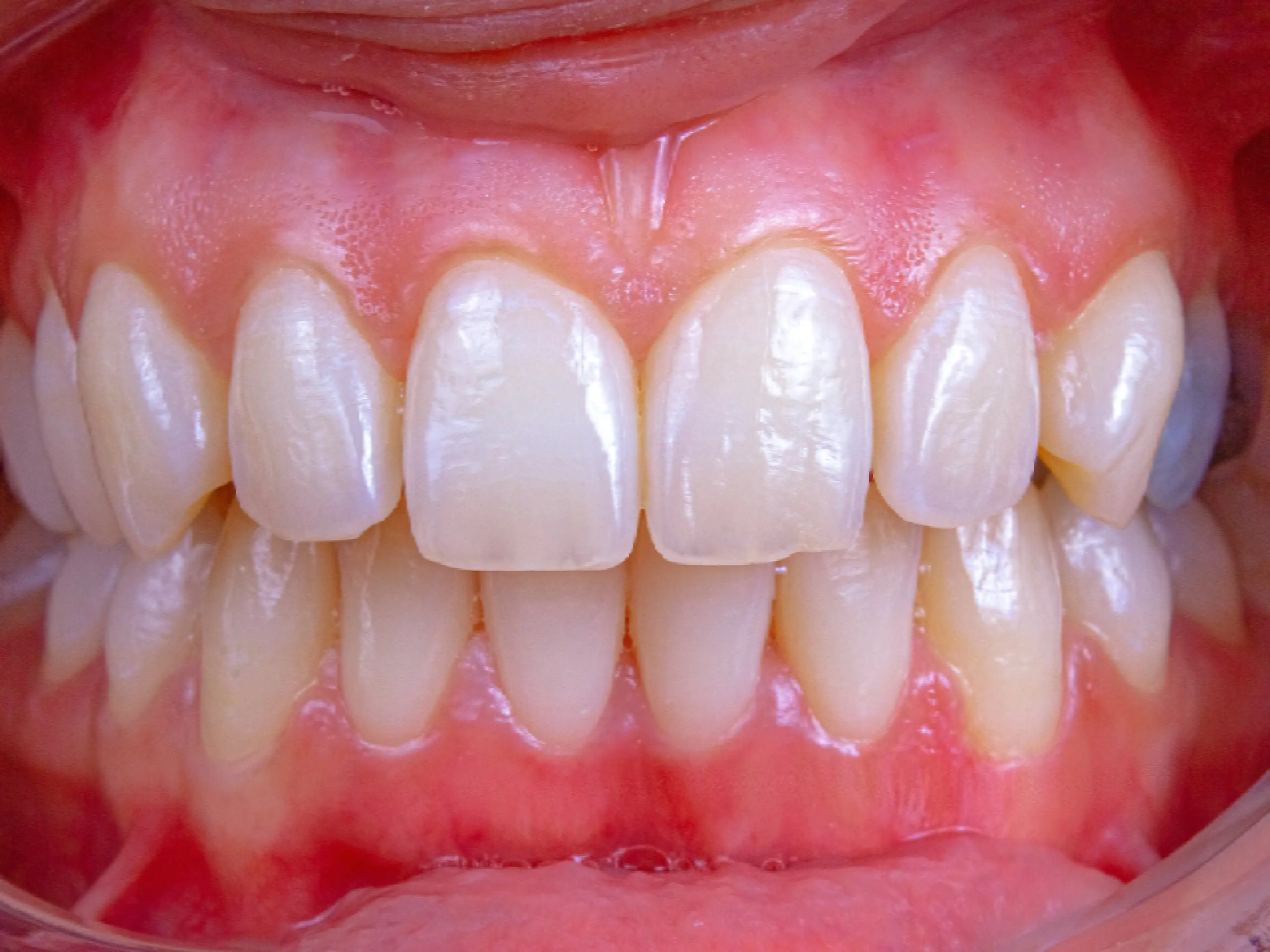
Gingivitis
Es la forma más leve de enfermedad periodontal. Se produce por la acumulación de placa bacteriana en el margen de las encías, provocando inflamación, enrojecimiento y sangrado. La buena noticia: es reversible con una higiene profesional y buenos hábitos en casa.
Periodontitis
Si la gingivitis no se trata, puede evolucionar a una periodontitis. Esta es una enfermedad más grave, que afecta al hueso y los tejidos de soporte del diente. Produce sangrado, mal aliento, sensibilidad, retracción de encías y movilidad dental. Puede conllevar la pérdida de dientes si no se trata a tiempo. El tratamiento incluye raspados, alisado radicular, limpiezas periódicas y cirugía si es necesario.
”Sabemos que muchas personas evitan el dentista por miedo a sentir dolor. Pero en nuestra clínica las limpiezas periodontales son sin dolor, sin sensibilidad, prácticamente sin molestias. Y lo mejor: conseguirás una boca sana, sin sangrados, sin mal olor y con encías rosas y firmes.
Antonio BatistaCirujano
Preguntas frecuentes sobre periodoncia
¿Qué es la periodoncia?
Es la rama de la odontología que se ocupa de prevenir y tratar las enfermedades de las encías y del hueso que sostiene los dientes.
¿Qué enfermedades trata?
Gingivitis (fase inicial) y periodontitis (fase avanzada).
¿Cuáles son los síntomas?
Sangrado al cepillarse, mal aliento persistente, encías retraídas, dientes flojos o movilidad dental.
¿Se puede curar la periodontitis?
La periodontitis no tiene cura, pero con un tratamiento adecuado puede detenerse su avance y mantener la salud periodontal controlada.
¿En qué consiste el tratamiento?
Limpiezas profundas
Raspado y alisado radicular
Cirugías periodontales (en casos severos)
Seguimiento y mantenimiento periódico
¿Puedo perder los dientes si no me trato?
Sí. La periodontitis avanzada es una de las principales causas de pérdida dental en adultos.
Tus encías también sonríen.
No esperes a que sea demasiado tarde. Una limpieza a tiempo puede marcar la diferencia entre perder un diente… o mantenerlo toda la vida



