Salvamos tu diente, evitamos el dolor
¿Notas un dolor punzante en una muela? ¿Tienes una caries muy profunda o sensibilidad que no desaparece?
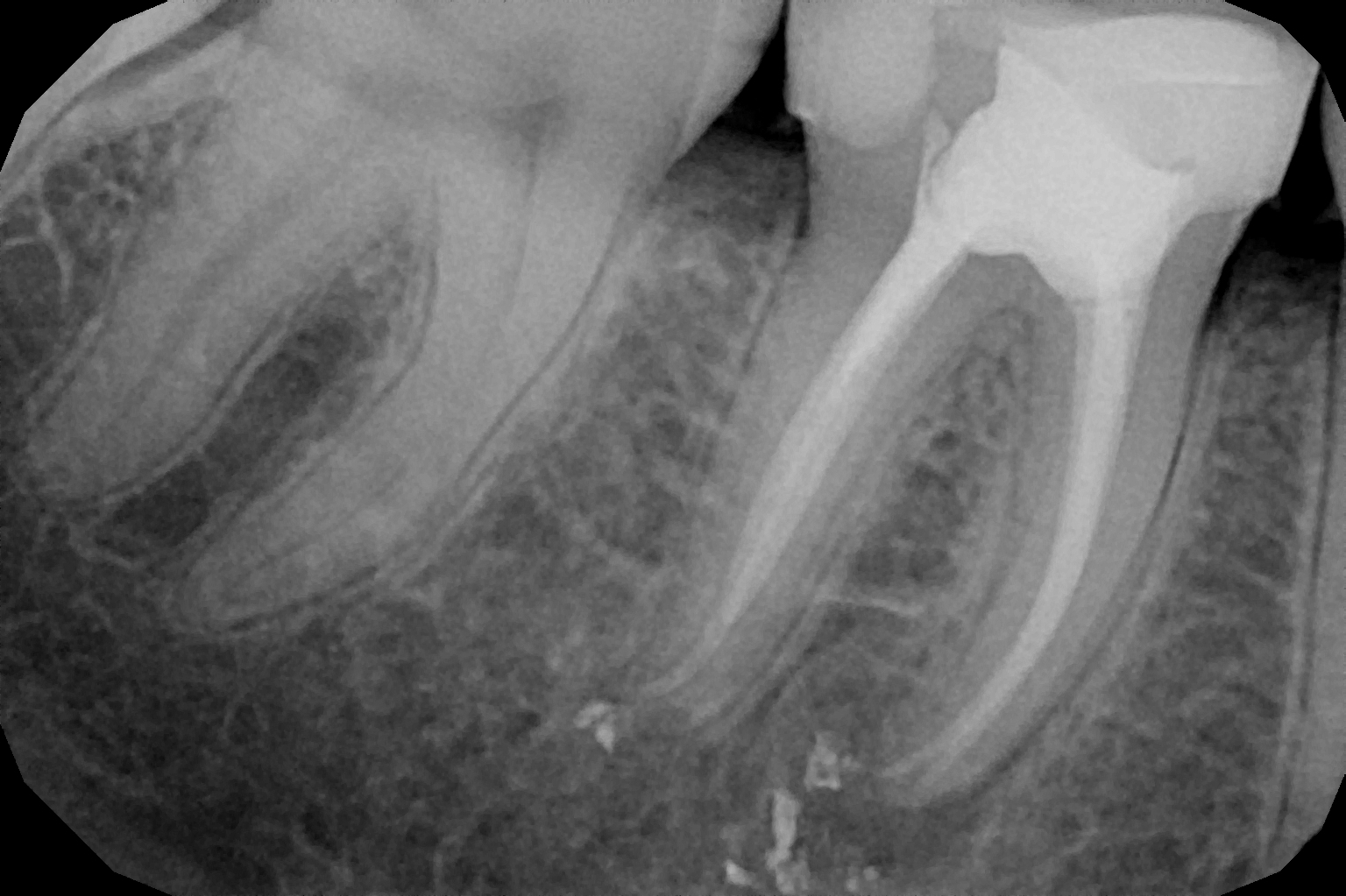
Es probable que necesites una endodoncia, el tratamiento que permite salvar dientes dañados por caries o infecciones, evitando su extracción.
¿Cuándo se necesita una endodoncia?
Estos son algunos síntomas que indican que podrías necesitar este tratamiento:
Dolor intenso y persistente
Sensibilidad al frío o al calor que no desaparece
Inflamación o flemón
Caries profundas
Cambio de color en el diente
Molestias al masticar
¿Qué esperar del tratamiento?
El procedimiento es sencillo, cómodo y completamente indoloro:
Aplicamos anestesia local para que no sientas nada.
Eliminamos el tejido infectado y limpiamos los conductos.
Sellamos los conductos para evitar futuras infecciones.
Reconstruimos el diente y, si es necesario, colocamos una corona.
”Sabemos que te preocupa esa muela que parece muy afectada, incluso piensas que habrá que extraerla. ¡Pero no! Gracias a la endodoncia, conservaremos tu diente y lo dejaremos como nuevo con una buena reconstrucción. Sin dolor, sin sorpresas.
Carmen GilOdontóloga
Preguntas frecuentes sobre Endodoncia
¿Qué es una endodoncia?
Es un tratamiento que elimina el nervio dañado de un diente, limpiando y sellando el interior para evitar infecciones y conservar la pieza.
¿Cuándo es necesaria?
Cuando hay caries profundas, infecciones, dolor persistente, inflamación o necrosis del nervio.
¿Duele una endodoncia?
No. Se realiza con anestesia local, por lo que el procedimiento es completamente indoloro.
¿Qué pasa después?
Puede haber leves molestias unos días, que se controlan fácilmente con analgésicos. El diente se reconstruye o se protege con una corona.
¿Cuánto dura un diente tratado con endodoncia?
Con una buena higiene y revisiones, puede durar toda la vida.
¿Se puede hacer en un diente con corona?
Sí. En muchos casos, se accede al nervio sin quitar la corona, manteniéndola intacta.



