Sonríe con seguridad y naturalidad
¿Qué es un implante dental?
Un implante dental es una estructura de titanio que se coloca en el hueso maxilar o mandibular para sustituir la raíz de un diente perdido. Tras su integración con el hueso (osteointegración), se coloca una corona de cerámica que simula a la perfección un diente natural, tanto en función como en estética.
¿Por qué elegir implantes dentales?
Los implantes dentales son la solución más eficaz, duradera y natural para reponer uno o varios dientes perdidos. A diferencia de otros tratamientos, no requiere tallar dientes sanos ni apoyarse en piezas vecinas.
Beneficios principales:
• Diente fijo, cómodo y natural
• Preserva el hueso y la estructura facial
• Evita el desplazamiento de dientes adyacentes
• Mejora la masticación y la pronunciación
• Recupera tu sonrisa sin incomodidades
¿Cómo es el proceso de colocación de un implante?
1 Evaluación clínica y diagnóstico 3D personalizado
2 Colocación del implante dental con anestesia local (mínimo dolor o molestias)
3 Período de cicatrización y osteointegración (3 a 6 meses)
4 Colocación de la corona definitiva con aspecto 100 % natural
”Sabes que no puedes comer ni sonreír igual por ese diente que te falta. Colocarse un implante es más sencillo de lo que imaginas. Con nuestro equipo de anestesistas, perderás el miedo desde el primer minuto
Antonio BatistaCirujano
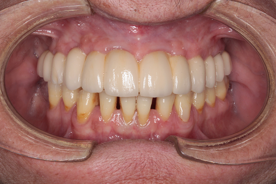
Antes y después de implantes


Preguntas frecuentes sobre implantes dentales
¿Qué es exactamente un implante dental?
Una pequeña estructura de titanio que actúa como raíz artificial del diente perdido. Sobre ella se coloca una corona cerámica que imita el diente natural.
¿Quién puede colocarse un implante?
Cualquier adulto con buena salud general y suficiente masa ósea. Se realiza un estudio previo con radiografía 3D.
¿Duele el procedimiento?
No. Se realiza con anestesia local. Después pueden presentarse molestias leves, fácilmente controlables con analgésicos.
¿Cuánto dura un implante dental?
Con buena higiene y controles regulares, puede durar toda la vida.
¿Cuánto tiempo tarda todo el proceso?
De 3 a 6 meses aproximadamente. En algunos casos seleccionados se puede realizar carga inmediata (implante y diente provisional en el mismo día).
¿Qué cuidados necesito después?
Higiene rigurosa, evitar el tabaco, seguir las indicaciones médicas y acudir a las revisiones.
¿Puedo comer normalmente?
Sí. Una vez finalizado el tratamiento, comerás con total normalidad, igual que con tus propios dientes.
Recupera tu sonrisa sin miedo ni complejos.
Ven a nuestra clínica dental en Moguer y descubre la solución más avanzada y natural para reponer tus dientes perdidos



