Recupera tu sonrisa y vuelve a masticar con seguridad en 24-48 horas
Nuestro equipo está especializado en implantología de carga inmediata, también conocida como «dientes en un día». Esta técnica innovadora permite colocar una prótesis fija provisional el mismo día en que se insertan los implantes dentales, sin tener que esperar meses con prótesis removibles.
Gracias a la planificación digital y al uso de radiografía 3D, conseguimos una colocación precisa de los implantes, permitiendo una recuperación estética y funcional inmediata.
¿A quién va dirigida?
Pacientes con edentulismo total (falta de todos los dientes) o con
patologías avanzadas (como piorrea o enfermedad periodontal grave).
También aplicable en algunos casos de pérdida de uno o varios dientes,
tras valoración individualizada.
Ventajas de la carga inmediata:
✔ Sonríe y mastica desde el primer día
✔ Evita prótesis de quita y pon durante la cicatrización
✔ Menor número de citas
✔ Mejora estética inmediata
✔ Procedimiento cómodo con sedación consciente
”Sabes que tus dientes se mueven, que no aguantarán mucho más… No esperes a perderlos todos. Con nuestra técnica de carga inmediata y sedación consciente, evitarás pasar por una etapa sin dientes, como ocurre en tratamientos convencionales. Nadie te verá sin dientes y tú te sentirás cómodo desde el primer momento. Comienza una nueva vida en menos de 48 horas.
Antonio BatistaCirujano
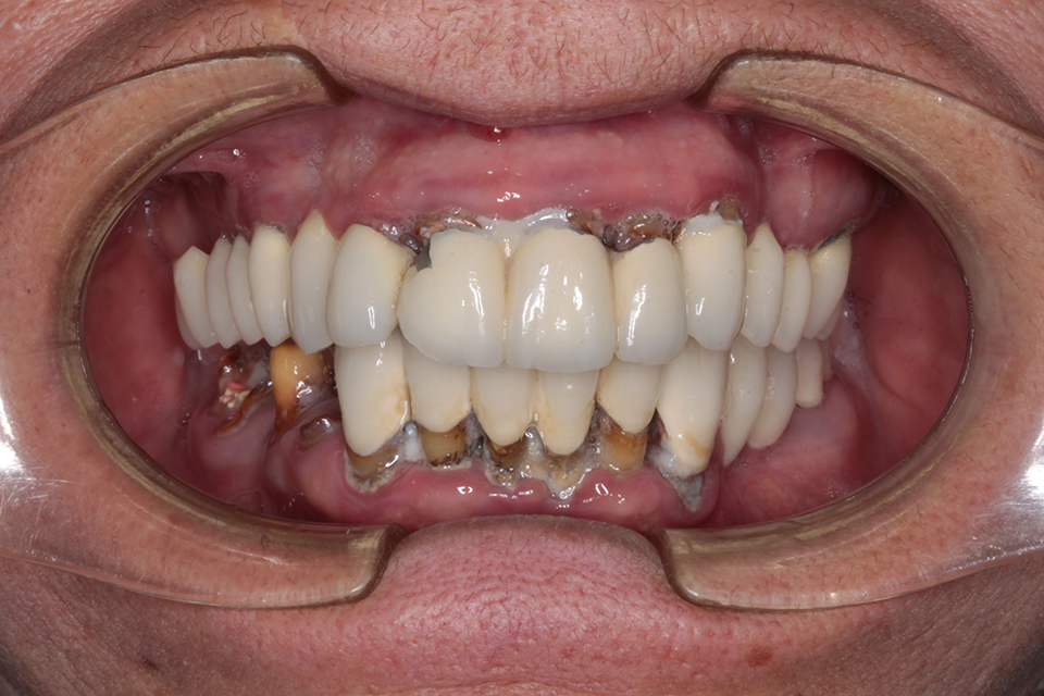
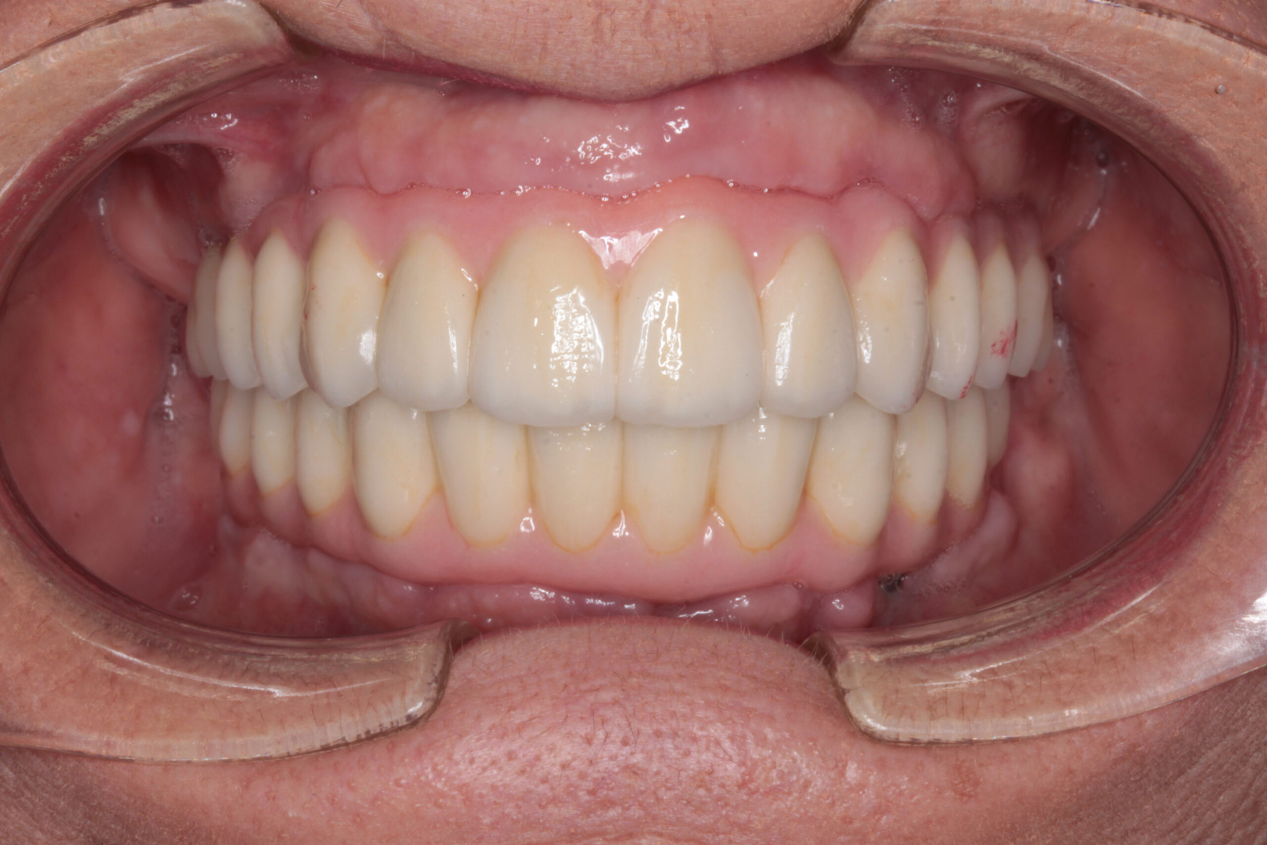
Antes y después de la carga inmediata


Preguntas frecuentes sobre la carga inmediata
¿Qué es la carga inmediata?
Es una técnica que permite colocar una prótesis fija provisional el mismo día de la intervención quirúrgica con implantes.
¿Todos los pacientes pueden optar a ella?
No todos. Se requiere un estudio previo y que el paciente tenga una buena densidad y calidad ósea.
¿Es un procedimiento seguro?
Sí. Cuando se realiza con una planificación adecuada y protocolos correctos, es totalmente seguro y eficaz.
¿Qué diferencia hay con los implantes tradicionales?
En lugar de esperar varios meses con una prótesis removible, se restaura la función y la estética el mismo día.
¿Qué tipo de dientes se colocan?
Una prótesis provisional fija, que después se sustituye por una definitiva, totalmente personalizada y natural.
Solicita tu estudio para carga inmediata
No esperes más para recuperar tu sonrisa. ¡Dientes fijos en un día te cambian la vida!



