Una sonrisa bonita te abre puertas
En Quirorto somos especialistas en estética dental, un conjunto de tratamientos destinados a mejorar la forma, color y armonía de tu sonrisa de forma segura y natural. Porque sonreír con confianza marca la diferencia, tanto en lo personal como en lo profesional.
Tratamientos principales de estética dental
Carillas dentales: transforma tu sonrisa en tiempo récord
Las carillas dentales son unas finas láminas de porcelana o resina compuesta que se colocan en la parte visible del diente. Permiten mejorar de forma rápida y estética alteraciones de color, forma, tamaño o pequeñas malposiciones dentales.
Con ellas conseguimos:
- Corregir dientes manchados, desgastados o fracturados.
- Cerrar espacios entre dientes (diastemas).
- Lograr una sonrisa blanca, simétrica y natural.
Encerado diagnóstico: ve tu sonrisa antes de empezar
¿Tienes dudas sobre cómo quedará el resultado?
Con nuestro encerado diagnóstico realizamos un diseño personalizado de tu sonrisa que podrás probar en tu boca antes de empezar el tratamiento definitivo. Así confirmas que el resultado será justo lo que quieres.
Sin sorpresas, sin miedo. Con la seguridad de que vas a quedar mejor de lo que entraste.
”“Sabemos que si das el paso, es porque buscas lo mejor. En Quirorto estamos a la altura de tus expectativas. Te acompañamos en todo momento, resolvemos tus dudas y te mostramos cómo será tu nueva sonrisa antes de comenzar. Nuestros pacientes exigen calidad, naturalidad y armonía, y por eso confían en nosotros. “
Laura DomínguezOdontóloga
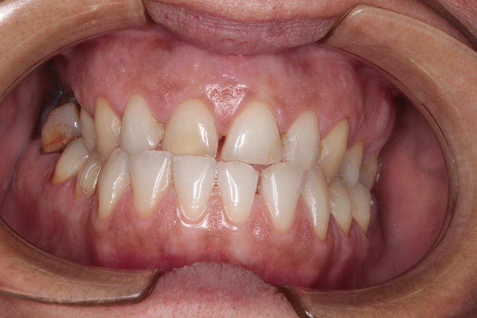
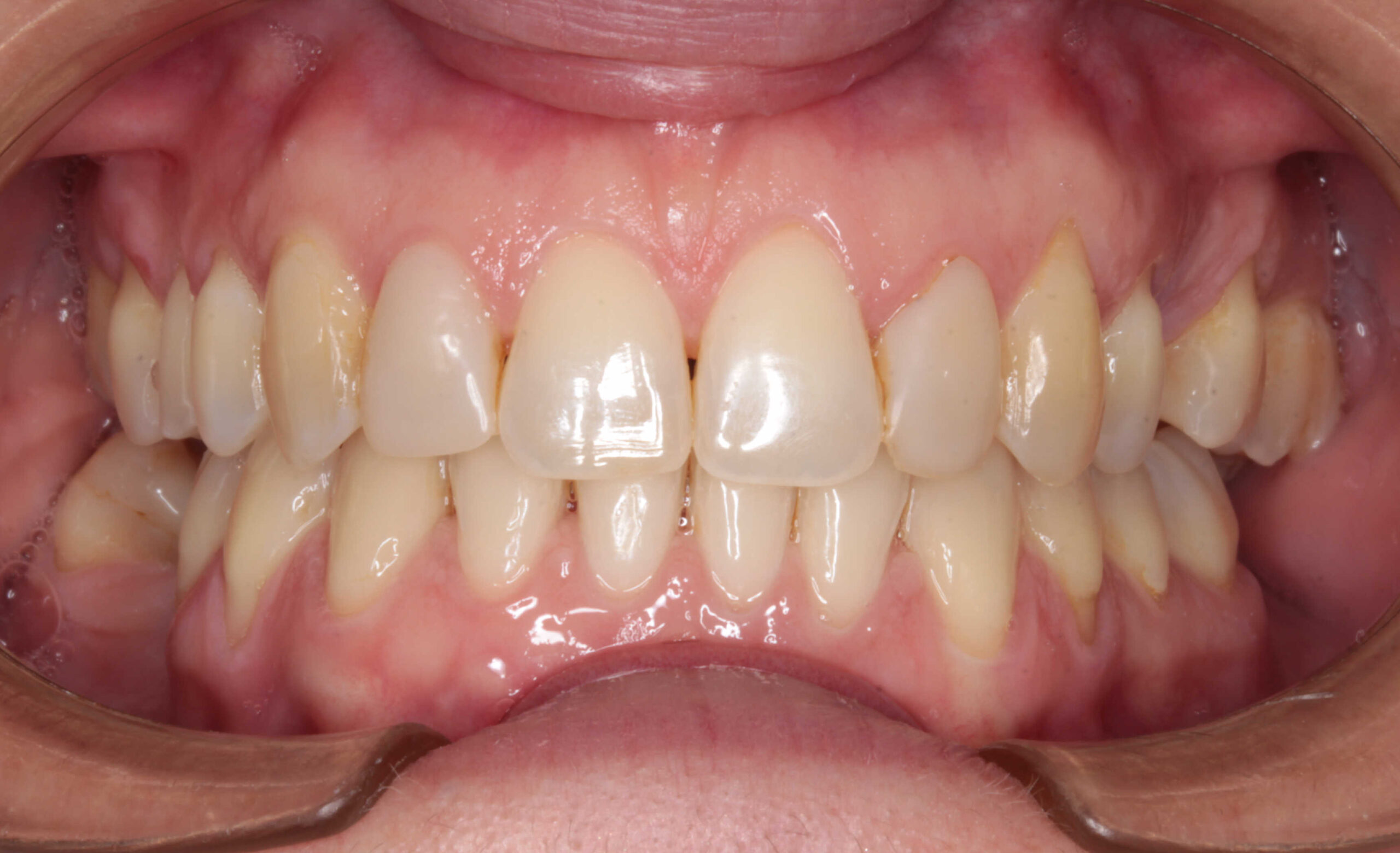
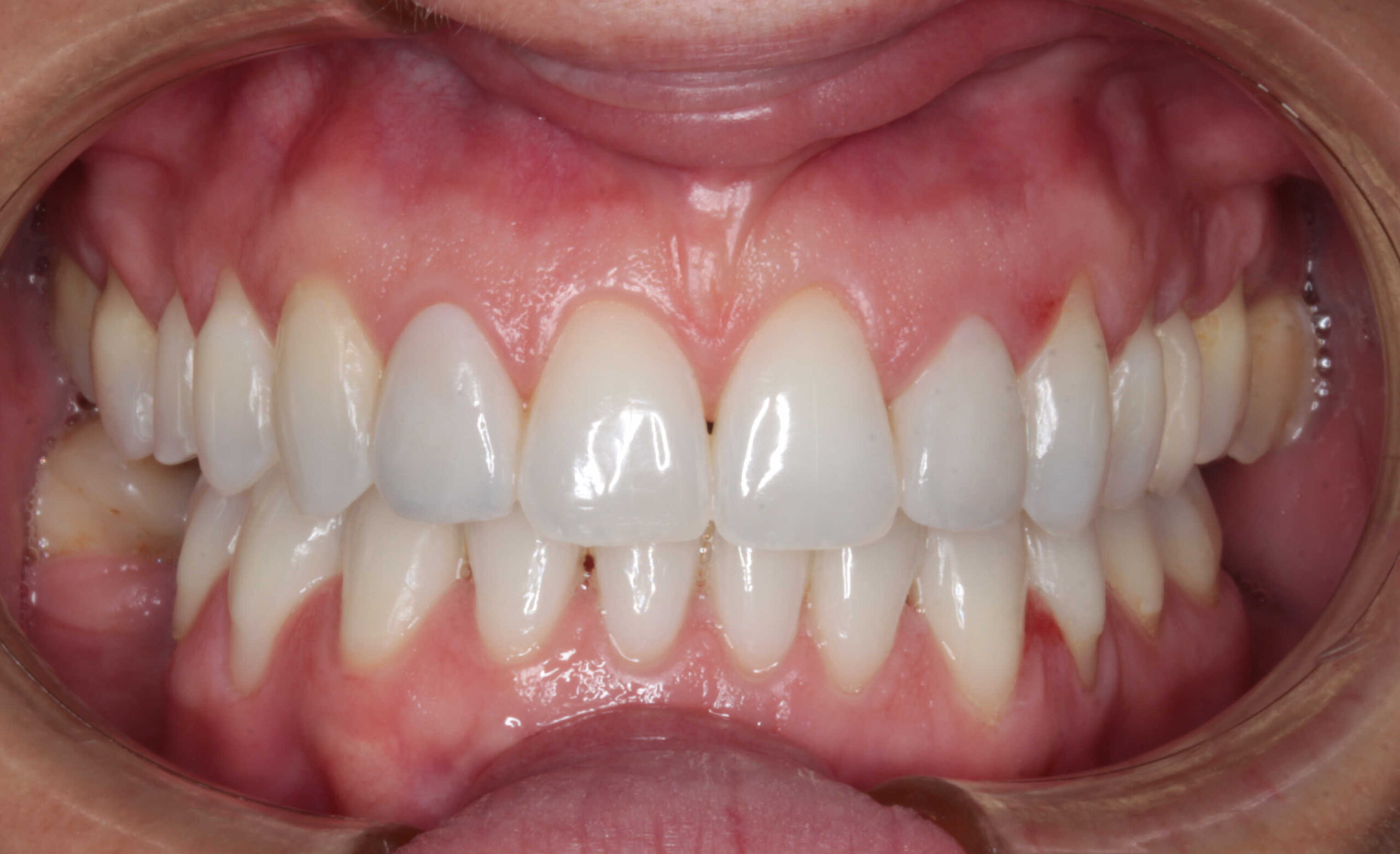
Antes y después de Estética dental






Preguntas frecuentes sobre Estética Dental
¿Qué es la estética dental?
Es la rama de la odontología que se centra en mejorar la apariencia estética de los dientes y la sonrisa.
¿Qué tratamientos incluye?
Carillas, blanqueamiento, diseño de sonrisa, rehabilitaciones estéticas, contorneado dental, coronas y ortodoncia estética.
¿Qué son las carillas dentales?
Son láminas delgadas que se adhieren a los dientes para corregir su forma, color o tamaño. Existen de porcelana o resina compuesta.
¿Duele colocarse carillas?
No. Es un procedimiento mínimamente invasivo e indoloro, realizado bajo anestesia local si es necesario.
¿Qué es el encerado diagnóstico?
Es una simulación previa del tratamiento que te permite ver y probar cómo quedarán tus dientes antes de empezar.
¿Cuánto duran las carillas dentales?
Con buen cuidado e higiene, pueden durar entre 10 y 15 años. Las revisiones periódicas ayudan a prolongar su vida útil.
¿Puedo combinar tratamientos estéticos?
Sí. Diseñamos planes personalizados combinando ortodoncia, carillas, blanqueamientos y rehabilitaciones para lograr una sonrisa completa.



