¡Hola, familia Quirorto! 😊
Empezamos este nuevo trimestre con muchísima ilusión… y con algo muy claro: seguir cuidando de ti como te mereces.
Porque en Quirorto no solo tratamos sonrisas… cuidamos personas 💙
Hoy queremos compartir contigo todo lo que estamos haciendo para verte sonreír más y mejor.
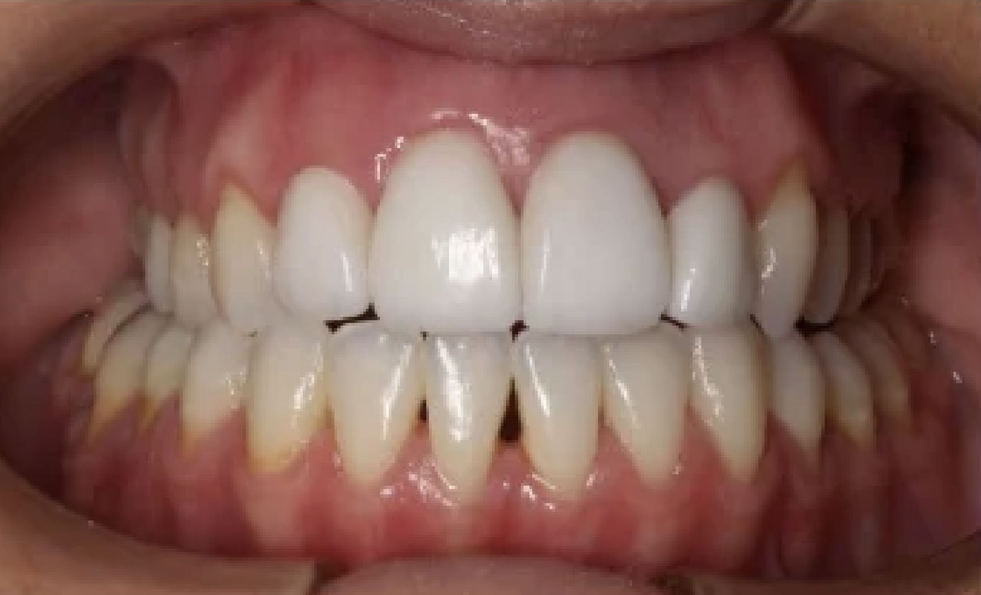
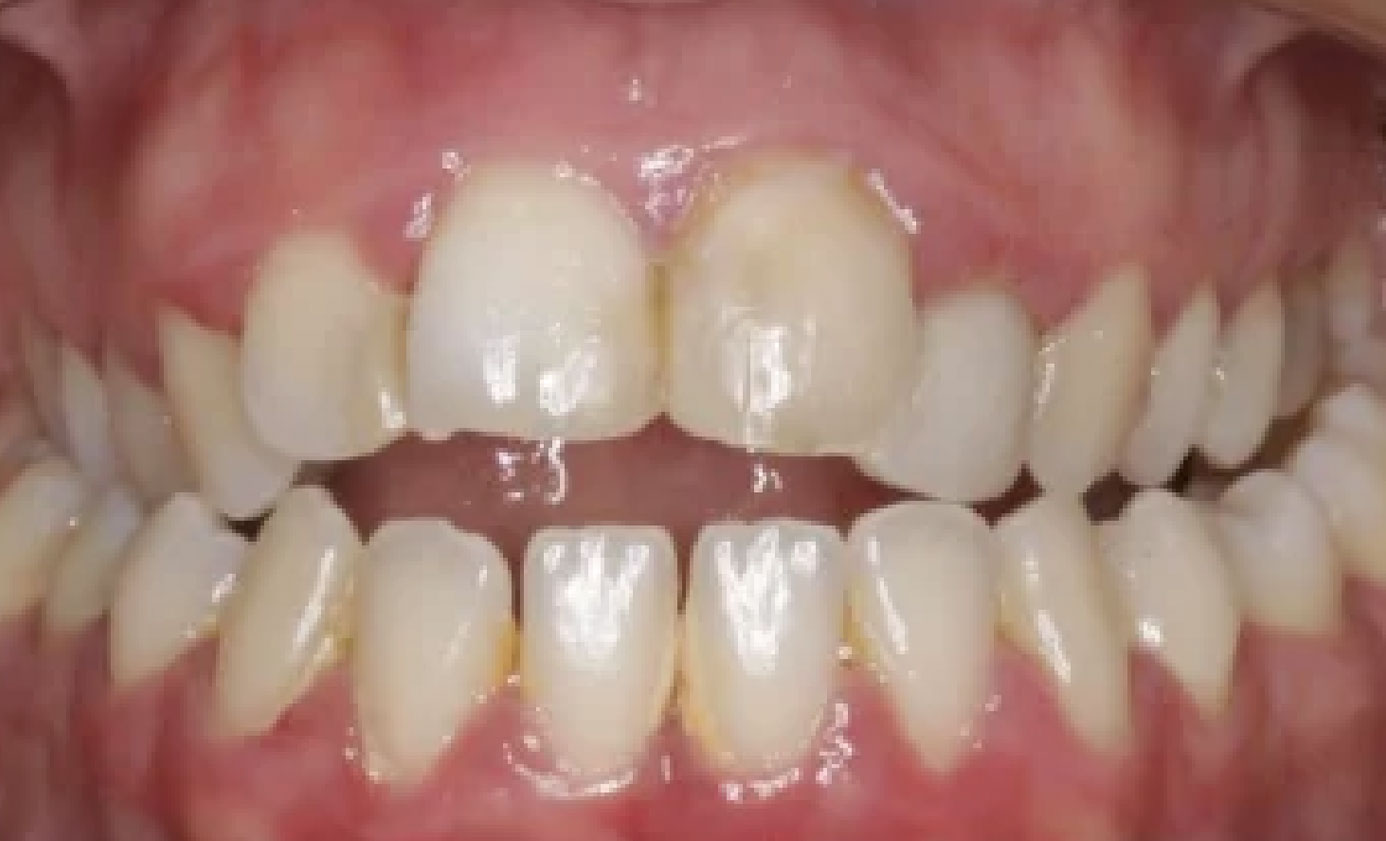
🦷 Una sonrisa que lo cambia todo
Cada sonrisa tiene una historia… y nos encanta formar parte de ella.
En este último caso clínico, hemos combinado ortodoncia y estética dental para lograr un resultado natural, armónico y lleno de vida. Porque no se trata solo de dientes bonitos, sino de que te mires al espejo y te sientas bien de verdad.
Y cuando los dientes no se pueden recuperar, también estamos contigo:
✨ Recuperamos tu sonrisa y tu masticación en muy pocas horas
✨ Tratamientos bajo sedación, sin estrés ni dolor
✨ Técnicas avanzadas como la carga inmediata e implantes postextracción
Más rápido, más cómodo… y con resultados que te devuelven la confianza desde el primer día.
🏥 Seguimos invirtiendo en ti
Tu comodidad y tu salud son nuestra prioridad. Por eso, hemos incorporado nuevas tecnologías para que tu experiencia en clínica sea aún mejor:
🔹 Láser de diodo
Tratamientos más suaves, sin puntos de sutura y con una recuperación mucho más rápida. Menos molestias, más tranquilidad.
🔹 Impresora 3D de alta precisión
Férulas más exactas, tratamientos más rápidos… y una colocación de brackets milimétrica gracias a técnicas avanzadas.
Menos tiempo en consulta, mejores resultados para ti.
🏆 Orgullo de equipo
En Quirorto creemos en la formación constante, porque eso se traduce en darte siempre lo mejor.
✨ Queremos darle la enhorabuena a nuestra Dra. Laura Domínguez por sus recientes estudios y artículos publicados en las revistas científicas de máximo nivel. A partir de Semana Santa va a compaginar su trabajo en Quirorto con una nueva etapa como profesora en la Facultad de Odontología. Desde aquí queremos expresar todo nuestro reconocimiento por su labor científica, académica y clínica. Toda una profesional imparable. ¡Un orgullo tenerte en el equipo!
✨ La Dra. Blanca Moreno sigue formándose en rehabilitación neuro-oclusal, ayudando a los más pequeños a crecer de forma sana y equilibrada.
✨ El Dr. Antonio Batista continúa avanzando en cirugía reconstructiva tridimensional para ofrecer tratamientos cada vez más precisos y seguros.
Porque nunca dejamos de aprender para cuidarte mejor.
⚽ Comprometidos con nuestra gente Club Deportivo Pinzón
El 4 de abril vivimos uno de esos momentos especiales al ver al Club Deportivo Pinzón alzarse con la Copa Provincial. Como patrocinadores, no podemos estar más agradecidos por dejarnos formar parte de su historia.
Pero todo esto tiene un origen muy claro: vosotros. Cada paciente y vecino de Palos que confía en nosotros, cada tratamiento, cada visita es un granito de arena que hace posible que podamos apoyar proyectos tan bonitos como este. Gracias por permitirnos crecer y compartir ese crecimiento con nuestra gente.
✝️ Semana Santa
En estos días tan especiales, también hemos querido estar cerca de vosotros. Con los cambios en la carrera oficial de Semana Santa, creamos un itinerario para ayudaros a no perderos nada, para que pudierais disfrutar cada momento con tranquilidad.
💬 ¿Hace tiempo que no vienes a revisión?
💙 Este es el momento perfecto para volver a cuidar tu sonrisa.
📞 Llámanos o escríbenos y estaremos encantados de ayudarte.
Tu sonrisa empieza aquí… y nosotros estamos contigo en cada paso.
Un abrazo enorme,
Equipo Quirorto




